Radiología: Placas Panorámicas
Ofrecemos radiografías panorámicas de alta resolución que nos permiten tener una visión clara y detallada de toda tu boca para brindarte así, un diagnostico preciso.
Estas imágenes nos ayudan a identificar problemas ocultos, planificar tratamientos complejos y asegurarnos de que cada paso que demos esté basado en información precisa.
Ya sea que estés comenzando un tratamiento de ortodoncia, necesites implantes o simplemente quieras una revisión detallada, nuestras placas panorámicas son el primer paso hacia una sonrisa más saludable.
Paga hasta 12 meses sin intereses
Sabemos lo importante que es pagar en cómodos plazos

Consulta un experto
Si tienes duda respecto a tu tratamiento escríbenos y un odontólogo experto te asistirá
ConsultasRadiología Dental
Radiografías rápidas y profesionales sin que tengas que desplazarte.
Más información
¿Para qué sirve la radiología dental?
Son estudios de imagen indispensables para observar en detalle los dientes y los tejidos de la boca. Utilizan una forma de radiación electromagnética de alta energía que atraviesa el cuerpo y crea una imagen que el especialista interpreta.
Por ejemplo, permiten evaluar las muelas del juicio, su posición y si pueden causar problemas; planificar una extracción; o revisar el alcance real de una caries u otras lesiones antes del tratamiento.
Tipos de radiologías
El examen lo realizamos en nuestras instalaciones y hay varios tipos:
Periapicales
Muestran un par de dientes completos desde la corona a la raíz.
Interproximales
Porciones de la corona de los dientes de arriba y abajo cuando el paciente muerde una tira de papel.
Cefalométricas
Vista lateral de la cabeza y relación con la mandíbula para analizar estructuras y vías.
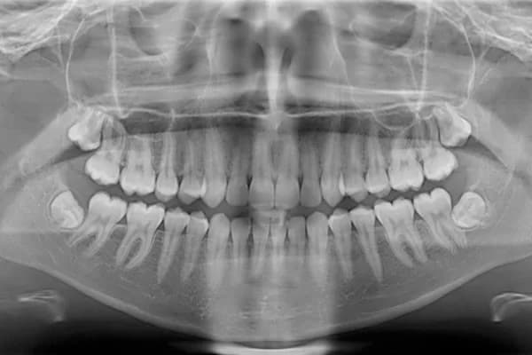
Panorámicas
Una sola toma de toda la boca con equipo especial; útil para planificar, no para detectar caries incipientes.
Scanner 3D (Cone Beam)
Tomografía de haz cónico de corta duración; alta definición en zonas maxilofaciales. Ideal para implantes y piezas retenidas.

Beneficios e importancia de la radiología dental
Es parte del estudio del paciente y clave para todas las especialidades odontológicas. No solo en la primera etapa, sino también en el control. Se utiliza para planificar endodoncias, rehabilitaciones, restauraciones y más.
Se recomienda su uso en niños durante la evolución dental para detectar riesgos a tiempo y actuar de forma preventiva, evitando dolores y tratamientos más complejos.
¿Tienes dudas? chatea con nosotros
WhatsappBeneficios e importancias de la radiología dental
Si estás en tratamiento y te solicitaron radiografías, contáctanos. Contamos con equipo especializado y radiólogos expertos que te brindarán el estudio que necesitas.
- Radiología 2D
- Radiografías Periapicales
- Radiografías Panorámicas
- Radiografías Cefalométricas
- Radiografía Bitewing
- Scanner 3D o Cone Beam
- Estudio de Implantes
En nuestro centro realizamos **todo tipo de exámenes**, así no tendrás que desplazarte a otro lugar.
Lo confirman nuestros pacientes:
Reseñas verificadas en Google

“Buenas prácticas recomiendo. Me ayudaron con un dolor de forma rápida y quedó todo bien.”

“Excelente atención, muy profesionales y amables. Volveré sin duda.”

“Me atendieron rápido y resolvieron mi urgencia dental. Muy agradecido.”

“Muy buena experiencia. Me explicaron todo con claridad y el tratamiento fue efectivo.”
Agenda tu evaluación con
un equipo de experiencia comprobada