Muelas del juicio
Agenda tu evaluación con
un equipo de experiencia comprobada
Paga hasta 12 meses sin intereses
Sabemos lo importante que es pagar en cómodos plazos

Consulta un experto
Si tienes duda respecto a tu tratamiento escríbenos y un odontólogo experto te asistirá
ConsultasCIRUGÍAS RÁPIDAS E INDOLORAS
¡No sufras dolor innecesario! Tenemos solución.

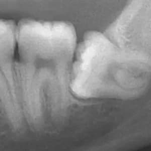
¿Qué son las Muelas del juicio?
Son los últimos molares en aparecer y lo hacen en edad adulta, entre los 17 y 20 años. Allí surge el problema: con poco espacio para albergarlas, comienzan los síntomas.
Pueden nacer torcidas, afectar el resto de la dentadura, causar maloclusión, infección y otros problemas. Si no están en la posición ideal, recomendamos extraerlas cuanto antes.




¿Tienes dudas? ¡Chatea con nosotros!
WhatsApp
¿Qué esperar en la intervención de muelas del juicio?
01. DIAGNÓSTICO
Evaluamos la complejidad del caso con examen clínico y radiografía panorámica 2D (el mismo día). Según la severidad, podemos solicitar un TAC 3D.
02. CIRUGÍA
Procedimiento rápido y seguro con anestesia local. La incisión es pequeña y, en la mayoría de los casos, toma pocos minutos.
03. INDICACIONES
Te entregamos indicaciones orales y escritas + receta. Quedas con número de asistencia 24/7 para cualquier eventualidad.
04. CICATRIZACIÓN
Los puntos se retiran a la semana, cuando ya cicatrizó la zona. La cicatrización completa puede tardar más, pero es un proceso indoloro y progresivo.
Rápidas
Años de experiencia permiten realizar procedimientos ágiles y seguros.
Cómodas
Protocolos limpios y precisos, disminuyen complicaciones.
Seguras
Alta tasa de éxito en extracciones realizadas por especialistas.
Prevención
Evita problemas mayores y maloclusiones actuando a tiempo.
Indoloras
Anestesia de última generación, con efecto rápido y duradero.
Lo confirman nuestros pacientes:
Reseñas verificadas en Google

“Buenas prácticas recomiendo. Me ayudaron con un dolor de forma rápida y quedó todo bien.”

“Excelente atención, muy profesionales y amables. Volveré sin duda.”

“Me atendieron rápido y resolvieron mi urgencia dental. Muy agradecido.”

“Muy buena experiencia. Me explicaron todo con claridad y el tratamiento fue efectivo.”
